Naše výsledky
Nahlédněte do galerie výsledků ošetření
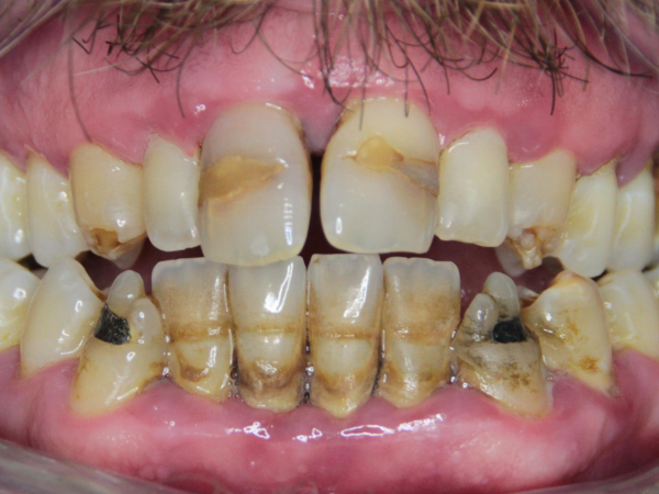
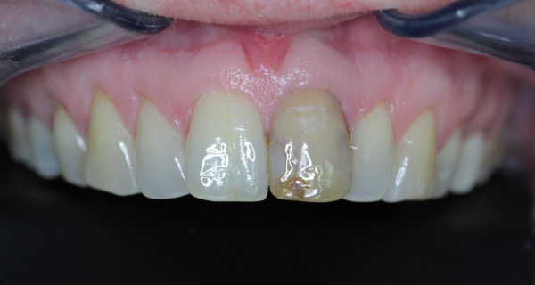
ODHALENÉ KRČKY A KERAMICKÉ E.MAX KORUNKY
Před zákrokem
Po zákroku
Průběh zákroku
Pacientka s dásňovými ústupy a velice nevzhlednými kompozitními fasetami. Indikovali jsme parodontální operaci (u MUDr. Jana Dražana - Dentkomplex, s.r.o.), která navrátila dásně na původní místo a zuby ošetřili keramickými e.max korunkami. Preparované zuby byly místo otisku skenovány dentálním skenerem TRIOS a keramické korunky zhotovila zubní laboratoř Keramika Kulovaný, s.r.o.
Detail službyKERAMICKÉ FASETY A DIGITAL SMILE DESIGN
Před zákrokem
Po zákroku
Průběh zákroku
Pacientka s bílými výplněmi v předním úseku chrupu, které již ztratily na kráse. Zjevné jsou zejména pigmentace na rozhraní výplní a zubů. Rozhodli jsme se pro čtyři e.max keramické fasety. Preparace byla snímána dentálním skenerem TRIOS. Naše zubní laboratoř Keramika Kulovaný, s.r.o. zpracovala návrhy budoucí situace pomocí Insignia Advanced Smile Design, abychom lépe vyhodnotili přání pacientky. Požadavek byl zachovat "motýlí křídla", tj. mírnou "vnitřní" rotaci velkých horních řezáků. Také jsme pomocí software hledali ideální tvar malých horních řezáků. Fotografie výsledné práce byly pořízeny necelé tři týdny po nasazení. Stále ještě čekáme na regenaraci dásní, která probíhá pomaleji.
Detail službyCELOKERAMICKÉ E.MAX KORUNKY HORNÍCH ŘEZÁKŮ
Před zákrokem
Po zákroku
Průběh zákroku
Horní řezáky s nevhodně modelovanými bílými výplněmi, pod nimiž se navíc nacházejí zubní kazy. Vlivem rozsahu ošetření horních řezáků jsme se rozhodli pro 4 celokeramické korunky e.max. Výsledek po 1 roce můžete posoudit v galerii.
Detail služby4 E.MAX KORUNKY A ZKŘÍŽENÝ SKUS ŠPIČÁKŮ PRAVÉ STRANY
Před zákrokem
Po zákroku
Průběh zákroku
Rychlá estetická proměna bez ortodoncie? Ano, je to možné. Na naší klinice Stomatologie Ujec, s.r.o. jsme nedávno realizovali kompletní rekonstrukci úsměvu pacientky, která toužila po krásném a přirozeném úsměvu – bez dlouhodobé ortodontické léčby. Výsledek? Proměna během několika dní, a to díky pokročilým technologiím, precizní práci a zkušenostem našeho týmu. Co zákrok obnášel: Bělení zubů prémiovým systémem Pure Whitening, Zhotovení 4 celokeramických korunek e.max na rotované horní dvojky a špičáky pravé strany, které byly ve skříženém skusu. Pacientka původně zvažovala ortodontické řešení, ale vzhledem k časové náročnosti a osobním preferencím zvolila rychlejší alternativu bez rovnání zubů pomocí rovnátek. Díky detailní digitální diagnostice a pečlivému plánování se nám podařilo dosáhnout výjimečně přirozeného výsledku, který splnil jak estetické, tak funkční požadavky. Ošetření provedl: MUDr. Alexandr Ujec – specialista na rekonstrukce úsměvu a práci s CAD/CAM technologiemi Použité technologie: Intraorální skener Trios 3Shape – přesné digitální otisky bez nepříjemného otiskovacího materiálu, CAD software Ceramill Mind – 3D návrh korunek na míru, Digitální Smile Design – plánování úsměvu předem na základě přání pacienta a morfologie obličeje. Výsledek? Pacientka odcházela se zcela novým, svěžím a přirozeným úsměvem – bez nutnosti nosit rovnátka, bez bolesti, a především v rekordně krátkém čase.
Detail službyZáchrana zubu na hraně – když už to vypadalo beznadějně
Před zákrokem
Po zákroku
Průběh zákroku
3 roky po ošetření – zub stále drží, bez zánětu, bez bolesti! Náš pacient k nám přišel s vnitřním zánětem v blízkosti nervu (tzv. interní granulom), který způsoboval i mírnou bolest při skusu. Zub byl navíc vystaven vlivu bruxismu – tedy nočního skřípání zubů. Bohužel ještě před dokončením ošetření došlo k fraktuře poloviny zubu až pod úroveň kosti. Stáli jsme před náročným rozhodnutím: extrakce a implantát, nebo pokus o záchranu zubu? Rozhodli jsme se pro druhou možnost – a šli jsme do toho naplno. Díky precizní práci pod mikroskopem Leica a digitálního skenování skenerem Trios 3Shape jsme provedli endodontické ošetření a následně zhotovili celokeramickou zirkonovou korunku, která přesně dosedá až na úroveň kostní tkáně. 3 roky po ošetření: žádný zánět, stabilní dáseň, zdravá kost a plně funkční zub. Prognóza: výborná. A to vše bez nutnosti implantace. Zuby se dají zachránit – když máte správnou techniku, přesnost a odvahu neodepsat zub předčasně.
Detail službyHLUBOKÁ FRAKTURA HORNÍHO MALÉHO ŘEZÁKU
Před zákrokem
Po zákroku
Průběh zákroku
Pacient se dostavil brzy po pracovním úrazu, kdy došlo ke zlomení horního malého řezáku pravé strany. Fraktura zasahovala do úrovně kosti z patrové strany a samozřejmě zasáhla dutinu se zubní dření (nervem). Bylo provedeno ošetření kořenového kanálku, připravena estetická dostavba a zub byl preparován na e.max celokeramickou korunku. Celé ošetření probíhalo pod mikroskopem s 25x-40x zvětšením a otisk situace přenesen do laboratoře pomocí dentálního skeneru 3shape TRIOS. Výsledkem je přesně esteticky a biologicky vyhovující celokeramická e.max korunka bez jakéhokoli dráždění dásně.
Detail službyZIRKONKERAMICKÁ KORUNKA A KOŘENOVÝ KANÁLEK HORNÍHO VELKÉHO ŘEZÁKU
Před zákrokem
Po zákroku
Průběh zákroku
Pacientka se dostavila k řešení ztmavlého horního velkého levého řezáku s četnými výplněmi a navíc s velkou hnědou skvrnou u řezací hranky. Původní záměr bylo "jen" ošetřit kanálek, vybělit a zhotovit nové výplně. Ale po odstranění výplní a malých kazů zbyla de facto jen přední lamela zubu, zadní strana chyběla až k dásni. Proto jsme se rozhodli po dokončení ošetření kořenového kanálku pro preparaci na zirkonkeramickou korunku. Výsledek můžete prohlédnout v galerii.
Detail službyFAZETOVÁ VS. E.MAX CELOKERAMICKÁ KORUNKA
Pacient v dospívání utrpěl úraz pravého horního řezáku, který byl ošetřen na dřívější dobu lege artis provedením v podobě zlatopryskyřičné fazetové korunky. Zlatá slitina umožňovala lití do tenkých vrstev a dovolovala minimální preparaci šetřící zubní dřeň (nerv). V dnešní době za pomocí minimálně invazivních technik, adhesivních způsobů fixace, za použítí mikroskopu a dalších technologií se nemusíme bát zhotovit buď větší fotokompozitní dostavbu a nebo přímo celokeramickou korunku. Pacientovi jsme po letech přenášení zlatopryskyřičné práce udělali úsměv znovu přirozený. e.max celokeramická korunka byla zhotovena pomocí dentálního mikroskopu Leica a nasnímána do laboratoře skenerem Trios.
Detail službyCELOKERAMICKÁ E.MAX OVERLAY
Před zákrokem
Po zákroku
Průběh zákroku
Pac. se dostavila s frakturou části zubu u velké amalgámové výplně, kterou jsme provizorně ošetřili. Při následné preparaci jsem volili, jak "uchytit" keramický materiál. Volba padla právě na overlay, která bude mít větší retenci než e.max korunka. Preparace na e.max korunku by byla radikálnější a zub by tak ještě více zeslabila. Výsledek posuďte v galerii.
Detail službyNAVIGOVANÁ ENDODONCIE HORNÍHO MALÉHO ŘEZÁKU S NEPRŮCHODNÝM KOŘENOVÝM KANÁLKEM
Před zákrokem
Po zákroku
Průběh zákroku
Pacient se dostavil s uvolněnou výplní a částí zubu horního malého řezáku. Před osmi lety byla tato výplň zhotovena díky velkému kazu. Jako retence korunkové části zubu byla zamýšlena endodoncie (ošetření kořenového kanálku) a zavedení sklokompozitního čepu do zaplněného kanálku. Endodoncie před 8 lety ale nebyla úspěšná díky značné obliteraci (kalcifikovaní) kořenového kanálku. Nyní po odlomení části výplně a zubu jsme využili dentální skener se stomatologickým CT. Díky těmto datům byla zhotovena 3D tištěná šablona pro PC navigované ošetření koř. kanálku. Výsledkem je hermetická kořenová výplň celého průběhu kořenového kanálku a zavedení dostavbového čepu pro nasazení celokeramické korunky
Detail službyVYJMUTÍ ZALOMENÉHO NÁSTROJE POMOCÍ BTR-PEN (BROKEN TOOL REMOVAL PEN)
Pacient se dostavil na vstupní kotrolu, při které byl zjištěn zalomený kořenový nástroj v druhé horní stoličce od předešlého ošetřujícího. Po uvolnění byl tento fragment vyjmut pomocí BTR-PEN s mikrosmyčkou, která se navléká pod mikroskopem na zalomený kořenový nástroj v kořenovém kanálku. Po vyjmutí následovalo dokončení ošetření kořene zubu.
Detail službyVYJMUTÍ ZALOMENÉHO NÁSTROJE Z HORNÍ STOLIČKY
Před zákrokem
Po zákroku
Průběh zákroku
Pacientka se dostavila od svého ošetřujícího k vyjmutí zalomeného nástroje pod mikroskopem. Jedná se o nepříliš častou komplikaci ošetření kořenových kanálků, kterou je třeba řešit, protože by tím klesala pravděpodobnost dlouhodobého úspěchu tohoto ošetření. Nástroj se podařilo po nějaké době vyjmout pomocí speciálního ultrazvuku a následně byl zub se 4 kořenovými kanálky opracován, zaplněn a dostavěn fotokompozitním materiálem (bílou výplní). Na posledním snímku je již patrné, že došlo k vyhojení malých infekčních ložisek v okolí zubu a prognóza celého zubu nyní je ve zcela jiných číslech pravděpodobnosti než-li na začátku.
Detail službyVYJMUTÍ ZALOMENÉHO KOŘENOVÉHO NÁSTROJE Z KANÁLKU ZUBU A NÁSLEDNÉ PROTETICKÉ OŠETŘENÍ
Před zákrokem
Po zákroku
Průběh zákroku
V horní první stoličce vlevo došlo na jiném pracovišti k zalomení nástroje v kořenovém kanálku a nad tímto kořenem se vytvořilo zánětlivé ložisko. Ošetření za pomocí dentálního mikroskopu bylo sice nárořné, ale úspěšné. Nástroj byl vyjmut a po hermetickém zaplnění kanálků jsme zub dokončili e.max celokeramickou korunkou.
Detail službyVYJMUTÍ ZALOMENÉHO NÁSTROJE Z KOŘENOVÉHO KANÁLKU
Před zákrokem
Po zákroku
Průběh zákroku
Při vstupní kontrole jsme u této pacientky jsme na RTG snímcích zjistili, že se v kořenovém kanálku horní levé dvojky nachází cizí těleso, tedy zalomený kořenový nástroj. Jedná se o nehodu při ošetření, která má komplikované řešení. Pokud by se tento zub neošetřoval či by se toto cizí těleso nepodařilo vyjmout, časem by se musel zub extrahovat a bylo by nutné jej nahradit například implantátem. Celý pracovní postup můžete shlédnout v galerii zákroku.
Detail službyDELEGOVANÝ PACIENT PRO KOMPLIKACE S PLNĚNÍM KOŘENOVÝCH KANÁLKŮ
Pacientka byla posláná svým zubním lékařem pro nemožnost dokončení plnění kořenových kanálků. Z RTG snímku je patrná anomální konfigurace s pěti kořeny. Po přípravě zubu jsme sondovali a poté ošetřili 5 kořených kanálků. Z dostupné literatury se tato konfigurace popisuje u zubu 6 v dolní čelisti cca v 10% pravděpodobnosti výskytu.
Detail službyOŠETŘENÍ NOVOU KOŘENOVOU VÝPLNÍ A HOJENÍ CHRONICKÉHO ZÁNĚTU V OKOLÍ KOŘENE
Před zákrokem
Po zákroku
Průběh zákroku
Pacientka 28 let se zcela nevhodnou kořenovou výplní dolní levé šestky s chronickým infekčním ložiskem v okolí kořene. Opět indikováno přeošetření kořenových kanálků. Na zub jsme nasadili přesnou metalokeramickou korunku. Po roční kontrole jsem pozorovali úplné vymizení chronického ložiska v okolí kořene.
Detail službyROZSÁHLÝ KAZ A ZÁNĚTLIVÉ LOŽISKO NA DOLNÍ ŠETCE S NÁSLEDNÝM OŠETŘENÍM
Před zákrokem
Po zákroku
Průběh zákroku
Dolní 6tka vlevo : zub s amálgámovou výplní, rozsáhlým kazem zasahujícím do zubní dřeně (nervu) a infikovaným kořenovým systémem. V okolní kosti u kořene zubu je velké infekční ložisko. Provedli jsme odstranění kazu, ošetření kořenových kanálků a zub jsme restaurovali e.max celokeramickou korunkou. Po 6 měsících je vidět opětovná remineralizace kosti, tedy vyhojování zánětlivého ložiska. Keramická e.max korunka splňuje veškeré nároky na funkci a estetiku.
Detail službyKERAMICKÉ E.MAX KORUNKY, ESTETICKÁ KOŘENOVÁ DOSTAVBA A KOMPOZITNÍ VÝPLNĚ
Před zákrokem
Po zákroku
Průběh zákroku
Pacientka byla pochopitelně nespokojená s "estetikou" svého úsměvu. Doslova se styděla usmívat. Jaký je to život, když se bojíte usmát...? Z terapeutického plánu vyšla indikace revize kořenového kanálku velkého horního pravého řezáku, po kterém následovala estetická kořenová dostavba pomocí sklokompozitního čepu. Bylo dále nutné vyměnit výplně obou malých řezáků. (V plánu je další ošetření, které ovšem již tolik nepospíchá.) Výsledek je fotografován po 4 dnech od nasazení e.max .korunek. Posuďte sami.
Detail službyREKONSTRUKCE CELÉ HORNÍ ČELISTI - ZIRKONKERAMICKÝ MŮSTEK, E.MAX KORUNKY A PROTETICKÉ OŠETŘENÍ IMPLANTÁTŮ
Před zákrokem
Po zákroku
Průběh zákroku
U pacientky jsme indikovali v předním úseku horní čelisti preparaci na e.max korunky, neboť řezáky a pravý špičák byl silně abradovaný (zkrácený zabroušením při artikulaci dolního metalokeramické můstku (který jsme rovněž vyměnili) a postupným smýkáním metalokeramického můstku proti horní čelisti). Dále v zadním úseku pravé strany (na snímcích levá strana) jsme zhotovili nový zirkonkeramický můstek a na levé straně (na snímcích pravá strana) bylo nutné zavést dva implantáty (po extrakci zubu 6; provedl MUDr. Jan Dražan), na které byl po integraci do kostní tkáně nasazen rovněž zirkonkeramický můstek. Všechny úkony byly zhotoveny s dentálním mikroskopem Leica a skenovány pomocí skeneru Trios. Výsledek stojí zato.
Detail službyIMPLANTACE A PROTETICKÉ OŠETŘENÍ ZKRÁCENÉHO ZUBNÍHO OBLOUKU
Před zákrokem
Po zákroku
Průběh zákroku
Pacientce byly naplánovany dva implantáty do místa chybějící 6 a 5 vpravo dole. Pro přesné zavedení a dosažení paralelity preparace byla použita navigace pomocí CT. Kombinací digitálního otisku zhotoveném dentálním skenerem a CT byla navržena šablona určující směr a hloubku preparace. Po vhojení implantátů bylo dokončeno protetické ošetření celokeramickými korunkami.
Detail službyLÉČBA PARODONTITIS (PARODONTÓZY), ESTETICKÉ VÝPLNĚ, CELOKERAMICKÉ FASETY A KORUNKY
Před zákrokem
Po zákroku
Průběh zákroku
Pacient s probíhající parodontitis (parodontózou), nevhodnými "bílými" výplněmi, deformitami skloviny po dřívějších aplikacích tetracyklinových antibiotik, amalgámové výplně (dříve tato indikace lege artis) dolních špičáků. Provedli jsme ve spolupráci s MUDr. Janem Dražanem léčbu a zastavení probíhající parodontitis, následovalo zhotovení fotokompozitních bílých výplní, celokeramických e.max faset a korunek. Výsledkem je vynikající estetika, kde jsou sice dásně "zatažené", ale bez probíhajího zánětu. Vše bylo provedeno pod dentálním mikroskopem Leica.
Detail službyKOMBINOVANÉ BĚLENÍ PUREWHITENING
Před zákrokem
Po zákroku
Průběh zákroku
Pacientka s odstíny zubů B3/C2 podstoupila kombinované bělení systémem Purewhitening, které se skládá z domácí a ordinační fáze. Výsledkem je odstín B1 u všech zubů. Bílá dieta (eliminace barevných potravin, kávy a kouření) nebyla vůbec dodržována. Pacientka zvláště v letních měsících, kdy probíhalo bělení, holduje hodně kávě a cigaretám. Výsledek prohlédněte v galerii.
Detail službyKOMBINOVANÉ BĚLENÍ PUREWHITENING Vynikající výsledek kombinovaného bělení Purewhitening
Na referenčním zubu (špičák nahoře vpravo) došlo k proměně odstínu z A3,5 na B1 – tedy z tmavého přirozeného zabarvení na nejsvětlejší přirozený odstín zubů. Díky systému Purewhitening je výsledek dlouhodobě stabilní a trvalý.
Detail službyDOMÁCÍ BĚLENÍ PUREWHITENING
Pacientka zvolila pro bělení zubů domácí bělení Purewhitening. Cílem bylo decentní zesvětlení barvy zubů, což lze pozorovat na snímku po dokončení domácího bělení v porovnání s původním odstínem A3.
Detail službyÚRAZ DÍTĚTE 9 LET - ZLOMENÉ KORUNKY HORNÍCH ŘEZÁKŮ DO ZUBNÍ DŘENĚ (NERVU)
Před zákrokem
Po zákroku
Průběh zákroku
Chlapec 9 let - úraz na bruslích, pád na led - komplikovaná zlomenina korunek obou stálých řezáků. Oba zuby měly dvě bodovité perforace do zubní dřeně (nervu). Navíc vývoj kořene obou řezáků není ještě dokončen. Ošetření bylo započato 50 min po úraze a v první fázi znamenalo "zacementování" perforací (otvorů) do zubní dřeně s cílem zachovat zuby (zubní dřeň) živé, aby mohly dokončit vývoj kořene. Teprve po 5 měsících jsme zhotovili celokeramické e.max korunky. Otisk se přenášel digitálně skenerem Trios do zubní laboratoře Keramika Kulovaný, s.r.o. Zuby jsou stále vitální. Do budoucna se počítá s tím, že korunky budou předělány podle nových podmínek kolem druhé dekády života nyní mladého pacienta.
Detail službyDÍTĚ 10 LET : OŠETŘENÍ KOŘENOVÝCH KANÁLKŮ DOLNÍ ŠESTKY A E.MAX KERAMICKÁ KORUNKA
Před zákrokem
Po zákroku
Průběh zákroku
Chlapec 10 let s k nám dostavil na vstupní kontrolu, kde jsme diagnostikovali u dolní pravé šestky kaz zasahující do zubní dřeně ("nervu"). Jedna z možností terapie je extrakce zubu a následná ortodontická léčba. Běh na dlouhou trať. Rozhodli jsme se s rodiči a chlapcem pro záchranu zubu. Prognóza ošetření bude dlouhodobá, i když nemusí být celoživotní. Je možné, že v pozdní dospělosti bude potřeba zub extrahovat a zavést implantát nebo autotransplantovat některou z osmiček (zuby moudrosti). Výrobu e.max keramické korunky provádí naše zubní laboratoř Keramika Kulovaný, s.r.o.
Detail službyVÝPLNĚ MLÉČNÝCH ZUBŮ - KAZUISTIKY
Mléčný zub je tak trochu zmenšenina stálého zubu. Liší se ale některými aspekty jako např. blízkost zubní dřeně (nervu) ku povrchu zubu. To vyžaduje zvýšené nároky na ošetření. Pracujeme výhradně se zvětšovací optikou, abychom dosáhli vynikajících výsledků na takto malém prostoru. Nahlédněte v galerii.
Detail službyESTETICKÉ FOTOKOMPOZITNÍ VÝPLNĚ
Před zákrokem
Po zákroku
Průběh zákroku
Řídíme se tím, že výplň (lid. plomba) nesmí být vidět. Preparaci i modelaci provádíme pod dentálním mikroskopem Leica a v latexové izolaci od dutiny ústní. Dbáme na úplné odstranění zubního kazu. Neděláme kompromisy, které by zhoršovaly trvanlivost ošetření.
Detail službyDENTÁLNÍ HYGIENA - MOTIVOVANÝ PACIENT
Před zákrokem
Po zákroku
Průběh zákroku
Pacient (44 let) k nám dochází pravidelně na preventivní kontroly a dentální hygienu. Během dvouletého období (mezi 2017-2019) jsme během 4 návštěv dentální hygieny s pacientem dokonale zvládli motivaci a techniku čištění zubů. Používá elektrický kartáček Philips Sonicare, dentální nit (flosspick), mezizubní kartáčky a na dočištění solokartáček. Měřeno stopkami - večerní DH zvládne do 4,5 min. Přesvědčte se v galerii, kde zobrazujeme sérii snímků z preventivních kontrol před návštěvou dentální hygienistky.
Detail službyEROZE, KŘÍDOVÉ SKVRNY A HNĚDÉ PIGMENTACE - PUREWHITENING KOMBI A ICON VESTIBULAR
Tento případ představuje vynikající výsledek mezioborové spolupráce zubního lékaře a dentální hygienistky Jany Ujcové, DiS. U pacienta byl mikroskopicky ošetřen erodovaný krček zubu pomocí fotokompozitní výplně s důrazem na maximální přesnost a šetrnost. Součástí léčby bylo také digitální workflow pro zhotovení individuálních nosičů na kombinované bělení PureWhitening, které vedlo k celkovému zesvětlení a sjednocení odstínu zubů. Následně byla dentální hygienistkou provedena infiltrace ICON Vestibular v oblastech hypomineralizací, díky které došlo nejen k výraznému zlepšení vzhledu skloviny, ale také k úplnému vymizení hnědých pigmentových skvrn v těchto ložiscích. Přestože na pravém horním řezáku zůstala drobná křídová hypomineralizace, celkový estetický výsledek je velmi harmonický a přirozený a potvrzuje přínos moderní stomatologie založené na spolupráci, preciznosti a využití digitálních technologií.
Detail služby