Naše výsledky dle oborů
Rozklikněte jednotlivé galerie provedených prací
Rozklikněte jednotlivé galerie provedených prací
Krčkové defekty, abraze, eroze, pigmentace u bílé výplně
Keramické e.max fasety na řezácích
Bruxismus v pokročilém stádiu, zkrácené zuby, neestetické krčkové výplně, krčkové defekty
Celokeramické zirkonové korunky a můstek v horní i dolní čelisti, zvednutý skus na původní hodnotu, zmenšená mezera mezi řezáky
Rotované horní malé řezáky a zkřížený skus špičáků pravé strany
4 e.max korunky, kombinované bělení zubů Purewhitening
Absence horní malého řezáku vpravo a zmenšený horní levý řezák
e.max keramická faseta pravého špičáku a e.max keramická korunka levého malého řezáku
Abradované (zkrácené obroušením) horní řezáky a pravý špičák, v zadních úsecích nevyhovující metalokeramické můstky
5 e.max keramických korunek a dva nové zirkonkeramické můstky v postranním úseku (z toho jeden na pravé straně snímku nesený na implantátech)
Dásňové ústupy a neestetické bílé výplně
Parodontální operace dásňových ústupů (MUDr. J. Dražan) a 4 e.max keramické korunky
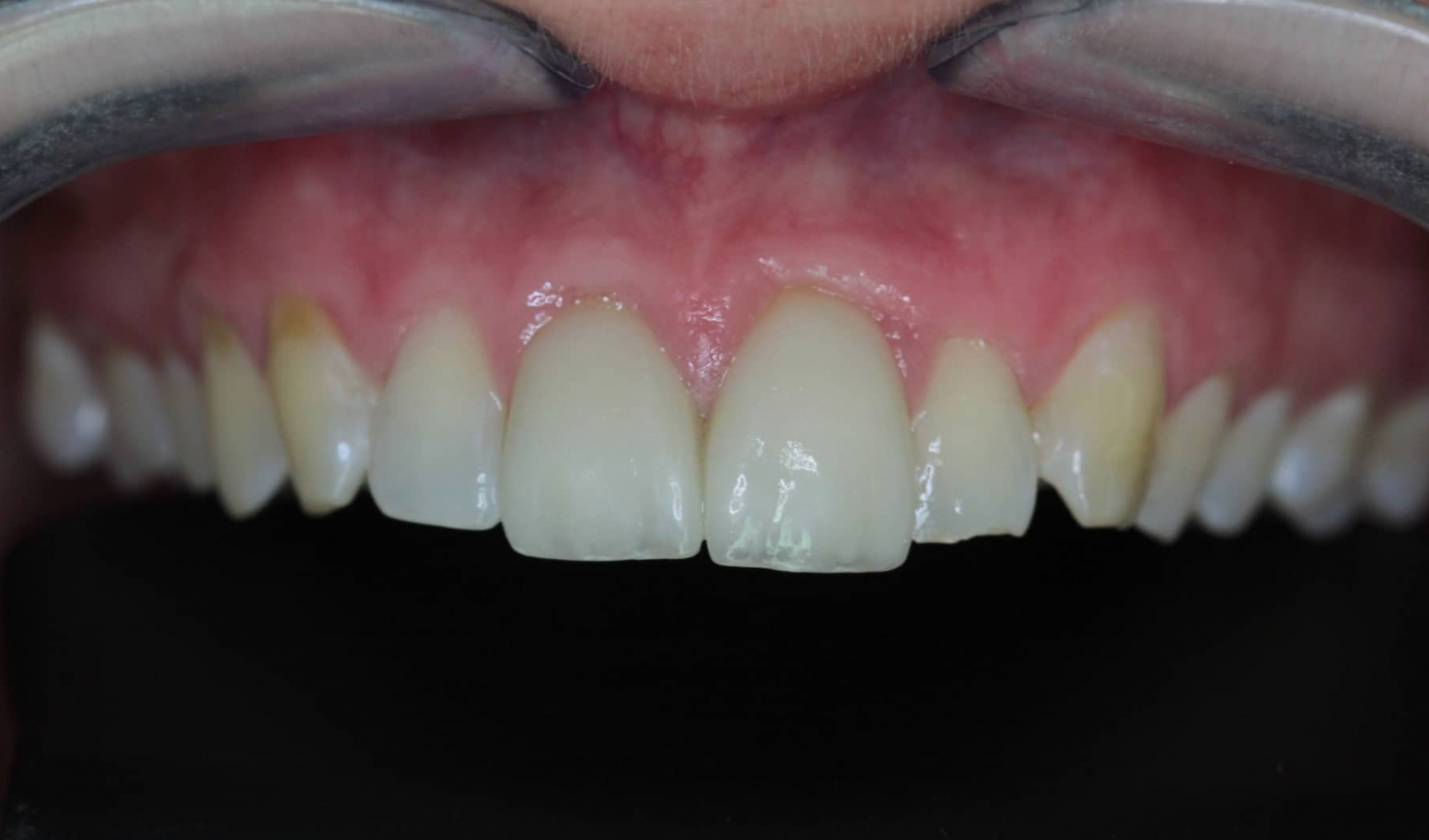
Ztmavlá korunka horního levého velkého řezáku s četnými výplněmi a hnědou pigmentací
Zirkonkeramická korunka horního levého velkého řezáku
Abradované horní řezáky, nevyhovující protetické ošetření v zadních úsecích, výplně se zubními kazy
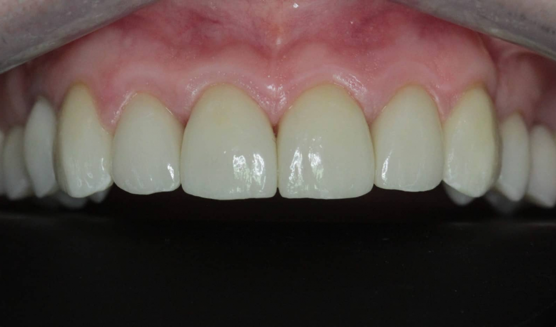
Zirkonové celokeramické korunky, fasety a malý můstek v celém rozsahu horní čelisti
Horní malé řezáky s nevhodným kořenovým ošetřením a změnou barvy
e.max keramické korunky horních malých řezáků a nové bílé výplně velkých řezáků
Fasetovaná zlatopryskyřičná korunka velkého pravého řezáku a neestetické výplně
e.max keramické korunky velkých řezáků a nové bílé výplně malých řezáků
Metalokeramický můstek horní čelisti s nepřenostmi, které jsou nevhodně kryté výplněmi, levá strana (vpravo na snímku) končí zubem č. 4
Celokeramický můstek horní čelisti a protetické ošetření implantátů zadního úseku chrupu levé strany (pravá strana snímku)
Chlapec (9 let) s uraženými horní stálými řezáky po sportovním úrazu
2 e.max celokeramické korunky stálých řezáků
Probíhající parodontitis (parodontóza), nevhodně řešené "bílé" výplně horních řezáků, deformace skloviny po antibioticích (tetracyklin), amalgámové výplně (dříve tato indikace lege artis) v předním úseku chrupu
Zaléčená parodontitis (spolupráce MUDr. A. Ujce a MUDr. J. Dražana), e.max celokeramické korunky a fasety, fotokompozitní bílé výplně
V předním kanálku došlo na jiném pracovišti k nehodě při ošetření - k zalomení preparačního nástroje v kořenovém kanálku (velká šipka). Malé šipky označují zánět nad kořenem zubu.
Nástroj byl vyjmut pod kontrolou dentálního mikroskopu a kořenový kanálek zcela hermeticky zaplněn v průběhu (velká šipka) a samozřejmě také na konci kanálku (malá šipka).
Nevyhovující krčkové výplně a korunky
e.max estetické fasety a korunky v celé horní čelisti
Nevyhovující bílé výplně v předním úseku horní čelisti
e.max estetické fasety v předním úseku horní čelisti
Mírně rotovaný levý velký řezák (pravá strana snímku) a asymetrické řezací hrany obou velkých řezáků
E.max celokeramické fasety obou velkých řezáků
Neestetické fotokompozitní výplně, provizorní korunky a metalokeramický můstek
Dva zirkonkeramické můstky v celém rozsahu horní čelisti
Uvolněná korunka na obou levých řezácích, destruovaný velký levý řezák, zubní kazy, viditelná bílá výplň
4 zirkonkeramické korunky a fotokompozitní výplně na špičácích
Stav po letech kompromisních řešení
Krčkové defekty, sekundární kazy, nefunkční výplně
Stabilní funkce a přirozená estetika
Výsledek precizní, dlouhodobé stomatologické péče
Posílání údajů do google analytics
Doba platnosti: 2 roky
Unikátní ID návštěvníka pro účely Google Analytics
Doba platnosti: 1 den
Používá Google Analytics k omezení rychlosti požadavků
Doba platnosti: 1 den
Cookies pro správnou funcionalitu napříč webem
Doba platnosti: 1 den
Nastavení jazykové sady - zapamatování konrétní jazykové sady pro konkrétní web.
Doba platnosti: 1 rok
Nezbytná cookie pro funkčnost nastavení souhlasu s použitím cookies.
Doba platnosti: 365 dní
Nezbytná cookie pro funkčnost nastavení souhlasu s použitím cookies.
Doba platnosti: 365 dní
Nezbytná cookie pro funkčnost nastavení soulasu s použitím cookies.
Doba platnosti: 365 dní