Our results by fields
Click on the individual galleries of the performed works
Click on the individual galleries of the performed works
Cervical defects, abrasion, erosion, pigmentation in the white filling
Ceramic e.max veneers on incisors
Bruxism in an advanced stage, shortened teeth, unaesthetic neck fillings, neck defects
All-ceramic zirconium crowns and bridge in the upper and lower jaw, raised bite to original value, reduced gap between incisors
Rotated upper small incisors and crossbite of right-sided canines
4 e.max crowns, combined teeth whitening with the Purewhitening system
Absence of the upper small incisor on the right and a reduced upper left incisor
e.max ceramic facet of the right canine and e.max ceramic crown of the left small incisor
Abraded (shortened by grinding) upper incisors and right canine, inconvenient metal-ceramic bridges in the rear sections
5 e.max ceramic crowns and two new zirconceramic bridges in the side section (one on the right side of the image carried on the implants)
Receding gums and unsightly white fillings
Periodontal gum recess surgery (MUDr. J. Dražan) and four e.max ceramic crowns
Darkened crown of the upper left large incisor with numerous fillings and brown pigmentation
Zirconceramic crown of the upper left large incisor
Upper small incisors with inappropriate root treatment and discolouration
e.max ceramic crowns of upper small incisors and new white fillings of large incisors
Faceted gold-resin crown of a large right incisor and unsightly filling
e.max ceramic crowns of large incisors and new white fillings of small incisors
Metal-ceramic bridge of the upper jaw with imperfections, which are inappropriately covered with fillings, the left side (right in the picture) ends with tooth No 4
All-ceramic bridge of the upper jaw and prosthetic treatment of implants of the rear section of the denture of the left side (right side of the image)
A boy (9 years old) with broken-off upper incisors after a sports injury
2 e.max all-ceramic crowns of permanent incisors
Ongoing periodontitis, improper “white” fillings of the upper incisors, deformation of the enamel after antibiotics (tetracycline), amalgam fillings (formerly this indication was state of the art) in the front section of the denture
Treated periodontitis (collaboration with MUDr. A. Ujec and MUDr. J. Dražan), e.max all-ceramic crowns and facets, photocomposite white fillings
In the anterior canal, an accident occurred during treatment at another dental office – the preparation tool broke off in the root canal (large arrow). Small arrows indicate inflammation above the tooth root.
The instrument was removed under the control of a dental microscope and the root canal was completely hermetically filled along (large arrow) and of course also at the end of the canal (small arrow).
Unsuitable neck fillings and crowns
e.max aesthetic facets and crowns throughout the upper jaw
Unsuitable white fillings in the front section of the upper jaw
e.max aesthetic facets in the front section of the upper jaw
Loose crown on both left incisors, destroyed large left incisor, tooth decay, visible white filling
4 zirconia ceramic crowns and photocomposite fillings on canines
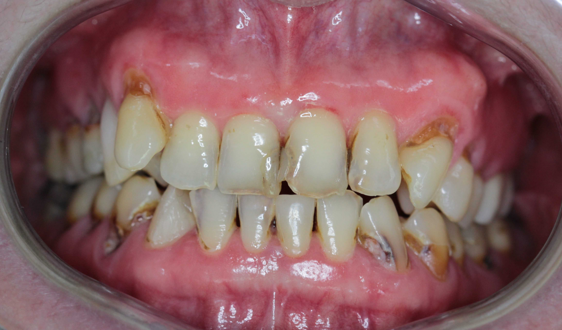
Status after years of compromise solutions
Cervical defects, secondary caries, non-functional fillings
Stable function and natural aesthetics
The result of precise, long-term dental care
Sending data to google analytics
Validity period: 2 years
Unique visitor ID for Google Analytics purposes
Validity period: 1 day
Uses Google Analytics to limit the speed of requests
Validity period: 1 day
Cookies for proper functionality across the web
Validity period: 1 day
Language set settings - remembering a specific language set for a specific website.
Validity period: 1 year
A necessary cookie for the functionality of the cookie settings.
Duration: 365 days
A necessary cookie for the functionality of the cookie consent settings.
Validity period: 365 days
A necessary cookie for the functionality of the cookie consent settings.
Validity period: 365 days